
A stroke happens when the blood supply to the brain is interrupted. This can happen if a blood clot or an artery is blocked. When this happens, the brain cells don’t get the oxygen they need and can die within minutes. This can affect the way you think, move and feel. If you recognise the symptoms, it’s important to act quickly. This can help prevent permanent damage and reduce the chances of a severe stroke.
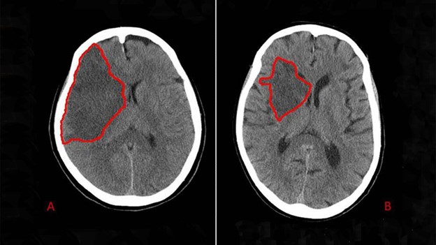
In about 80% of strokes, the interruption to the blood flow is caused by a blood clot. This is called an ischemic stroke. In the other 20% of strokes, it is due to a damaged blood vessel. This is called a haemorrhagic stroke. The symptoms of a haemorrhagic bleed are more severe and can be fatal.
You can find out more about the different types of stroke here. Stroke affects everyone differently. It can leave you with some short-term problems such as weakness or numbness and some longer-term disabilities, such as memory loss or difficulty walking. Some people are left dependent on other people for support. The outlook varies depending on where in the brain a stroke happens, how severe it is and your health history.
The main things you can do to lower your risk of a stroke are keeping physically active, eating a healthy diet, not smoking and drinking less alcohol. This helps to keep your weight down, control your blood pressure and cholesterol, and avoid high blood sugar levels which can increase your chance of having a stroke.
If you or someone else has symptoms of a stroke, it is important to call 999 and go to hospital immediately. This is because the sooner you get treatment, the more likely it is that you can be helped to recover. You should also try to remember when the symptoms first started, so that you can tell your healthcare provider what time you had the TIA. This can help them decide what type of medicine to give you.
Often, the first signs of a stroke are that one side of the face is weak or numb, or that one arm is more difficult to lift than the other. But you should also look for other symptoms, such as a sudden dizziness or trouble speaking clearly. It’s a good idea to ask your healthcare provider about your risk of having a stroke, especially if you have a family history of it.
Almost anyone can have a stroke, but some groups are at higher risk than others. These include older people (two-thirds of strokes happen in people aged 60 and over), people with certain medical conditions such as heart disease or high blood pressure, and people who have had a previous stroke or heart attack. You can learn more about how to reduce your risk of a stroke here. This includes following a balanced, low-fat diet that contains lots of fruit and vegetables (5 A Day) and wholegrain foods. You should also limit your intake of salt and drink plenty of water.
Phenix Health delivers online health services 24/7 provided by Australian doctors and healthcare professionals.